Semiologia Quirurgica
domingo, 3 de marzo de 2013
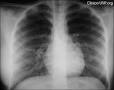
Indice cardiotoracico
Relación entre el diámetro del corazón y el del tórax, medida sobre una radiografía de frente. No debe sobrepasar de 0,50 en el adulto y de 0,55 en el lactante.
No hay comentarios:
Publicar un comentario
Entrada más reciente
Entrada antigua
Inicio
Suscribirse a:
Enviar comentarios (Atom)
No hay comentarios:
Publicar un comentario